Case Study: Anterior All-Ceramic Crown & Bridge Restoration

Published On: March 26, 2026

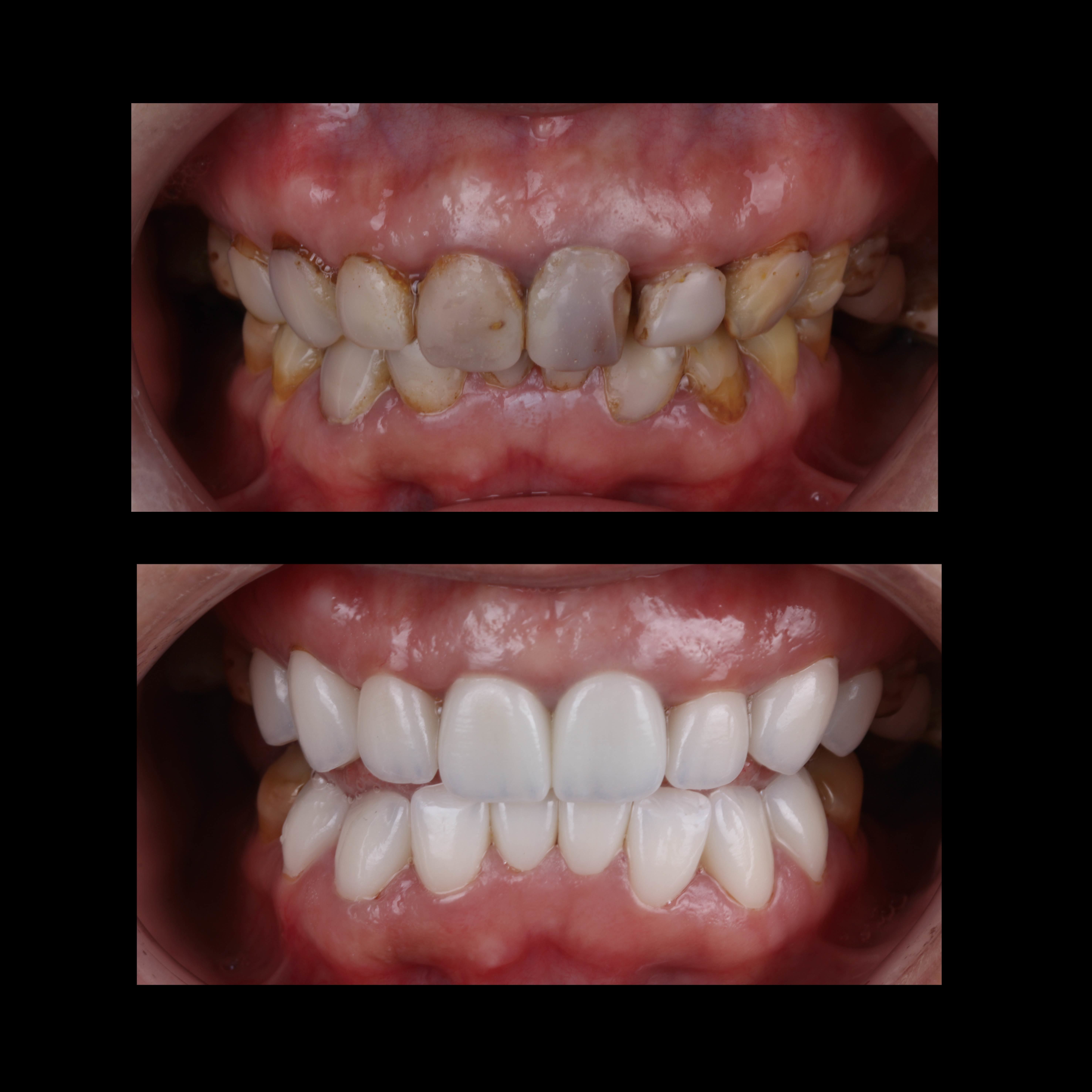
Case Background


The patient presented with severe pigmentation, tooth defects, and misalignment of anterior teeth, along with discoloration of multiple teeth, which affected both smile aesthetics and masticatory function. The patient desired to achieve tooth whitening and functional recovery through restoration. After a comprehensive oral examination, a anterior all-ceramic crown and bridge restoration plan was formulated to balance aesthetics and function.

Restoration Process


  1. Preoperative Evaluation & Design: The extent of tooth defects, pulp status, and occlusion were assessed. The shape and shade of the restorations were designed according to facial proportions to ensure neat alignment and natural color harmony after restoration.
  2. Minimally Invasive Tooth Preparation: Diseased and discolored tooth tissue was removed, and the shoulder margin was precisely prepared to preserve healthy tooth structure, providing stable support and sufficient bonding space for the all-ceramic restorations.
  3. Digital Restoration Fabrication: Accurate dentition data was obtained via intraoral scanning, and all-ceramic crowns and bridges were milled using CAD/CAM technology to replicate the translucent texture of natural teeth, ensuring marginal fit and aesthetic form.
  4. Try-In & Bonding: Occlusion and proximal contacts were adjusted during try-in. After confirming the desired shape and shade, the restorations were bonded with professional adhesive, and margins were polished to prevent food impaction.

Restoration Outcome


Post-restoration, the anterior teeth exhibited uniform, bright color, complete defect repair, and neat alignment. Masticatory function was restored, and gingival margins were well-adapted and healthy. The patient’s smile aesthetics were significantly improved, eliminating the distress of discolored and defective teeth and restoring social confidence.