Anterior Tooth Reconstruction with Custom Zirconia Crown & Veneer Restoration Case Study

Published On: March 17, 2026

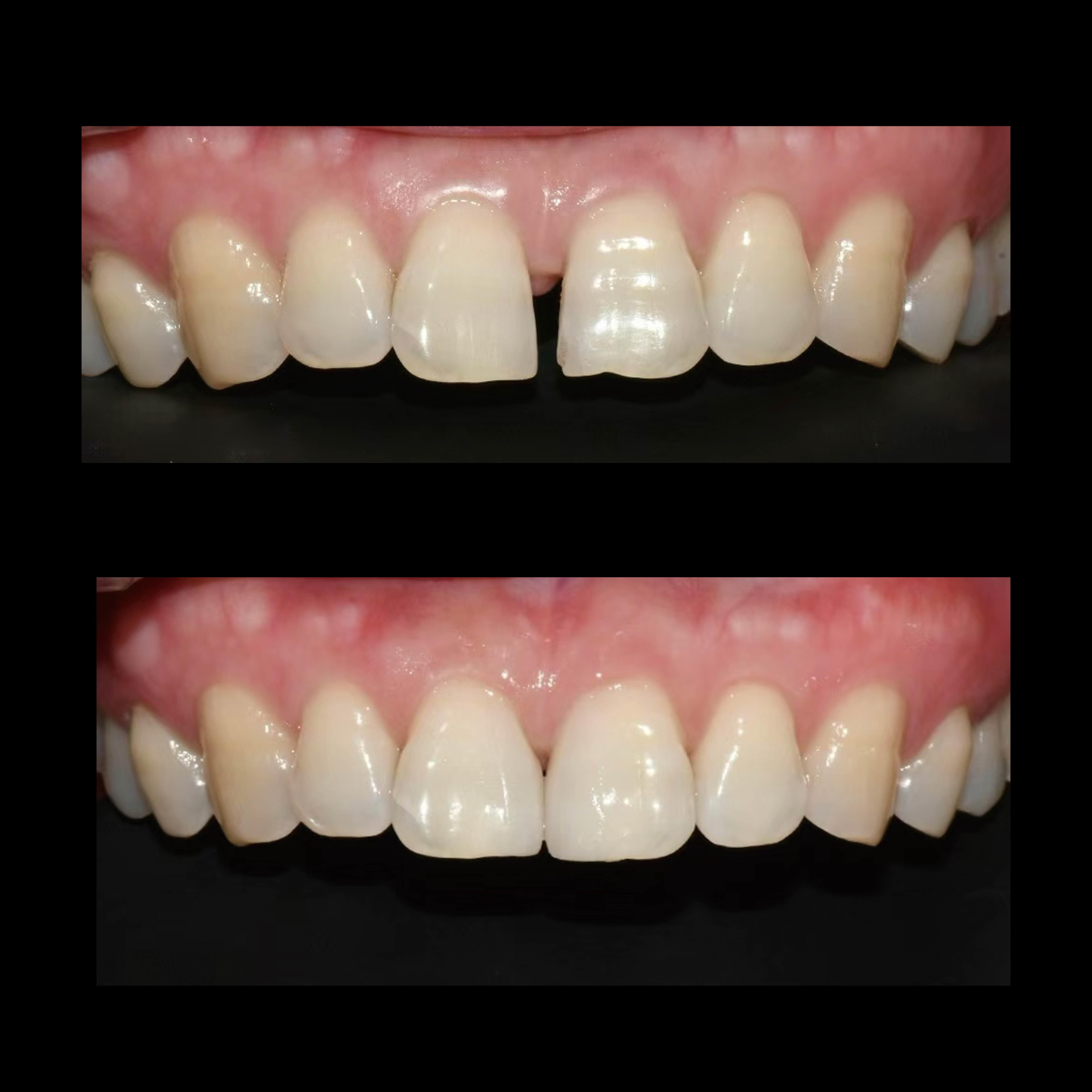
Case Background


The patient presented with a fractured anterior tooth and uneven tooth shade, resulting in a compromised smile appearance and functional concerns. The patient sought a durable, natural-looking solution to repair the damaged tooth while achieving a harmonious, consistent aesthetic across the anterior dentition.

Treatment Solution


  • Aesthetic & Functional Assessment: Evaluated the fractured tooth’s structural integrity and overall anterior tooth shade, formulating a plan to replace the damaged tooth with a custom zirconia crown while refining adjacent teeth for color consistency.
  • Minimally Invasive Preparation: Performed conservative preparation of the fractured tooth to retain maximum natural structure, and minimally adjusted adjacent teeth to create a uniform color base.
  • Custom Restoration Fabrication: Crafted a high-strength zirconia crown for the fractured tooth, matched to the natural shade and translucency of surrounding teeth, alongside subtle refinements to adjacent teeth for seamless aesthetic integration.
  • Precision Delivery & Finishing: Delivered the crown with meticulous marginal adaptation and occlusal adjustment, ensuring a smooth, natural fit that blends perfectly with the surrounding gum tissue and dentition.

Treatment Outcomes


  • The fractured tooth was fully repaired, with a natural shape and shade that matches the surrounding teeth perfectly.
  • The anterior dentition achieved a consistent, harmonious appearance, with improved symmetry and a lifelike, natural luster.
  • The patient reported high satisfaction, with restored function and a significant boost in smile confidence.